-시야변화도 천천히 진행되고 증상 없어 질환 알아차리기 어려워
-안압 조절 치료 통해 시신경 손상 진행 막아야
![]() |
| ▲ |
녹내장은 황반변성, 당뇨망막병증과 더불어 실명을 부르는 3대 안과질환 중 가장 높은 비율을 차지하는 질환이다. 환자 수도 꾸준히 늘어 녹내장으로 병원을 찾은 환자는 2014년 699,075명에서 2018년 904,458명으로 5년간 약 30% 증가했다. 흔히 안압이 높아져 시신경이 손상되는 질환으로 알려져 있으나 안압이 정상임에도 불구하고 시신경 손상이 진행되는 ‘정상안압 녹내장’도 있다. 자각증상이 없어 더욱 무서운 ‘정상안압 녹내장’에 대해 강동경희대병원 녹내장클리닉 강자헌 교수의 도움말로 알아봤다.
◆실명까지 갈 수 있는 위험한 질환
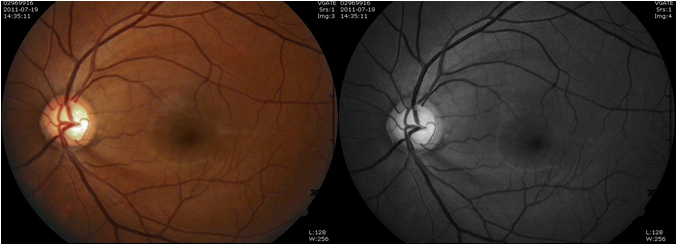
정상안압 녹내장이란 안압은 정상 범위(21mmHg 이하)이면서 전방각이 열려있고 특징적인 녹내장성 시신경 손상과 이에 따른 시야결손이 나타나는 질환이다. 안압이 높지 않아 자각증상이 거의 없는 것이 특징이다. 이에 강자헌 교수는 “시야 변화도 서서히 진행하기 때문에 녹내장 말기가 될 때까지도 환자 스스로는 병을 알아차리지 못하는 경우가 대부분이다”고 말했다. 질환이 점점 진행됨에 따라 시야가 감소하는데, 말기에는 마치 터널을 통해서 사물을 보는 것 같은 시야를 나타내며 더 진행되면 실명까지 이르는 질환이다.
◆약물 치료가 우선, 약물 효과 없으면 녹내장 수술 고려해야
정상안압 녹내장은 안압이 정상 범위라고 해도 환자의 안압이 병의 진행에 있어 가장 큰 위험인자이기 때문에 안압을 더 낮추어 시신경 손상을 막기 위해 안압을 저하시키는 점안제 및 약물을 사용한다. 한 가지 약물로 안압이 충분히 낮아지지 않으면 다른 계열의 약을 추가 및 병합 사용하기도 한다. 만약, 안약에 의한 최대한의 약물치료로도 안압이 조절되지 않거나 병이 진행되어 시신경의 기능이 저하되면 안압을 조절해 추가적인 시신경의 손상을 막기 위해 녹내장 수술을 고려할 수 있다.
◆자각증상 없어 검진 중 우연히 발견되는 경우 많아
정상안압 녹내장은 자각증상이 거의 없어 조기 진단이 어렵다. 그래서 녹내장을 의심해서 병원을 찾기보다는 다른 안과증상이 있거나 건강검진을 통해 우연히 발견하는 경우가 많다. 녹내장은 주변부 시야장애로부터 실명까지 진행하기 때문에 이를 진단하기 위해서는 시야검사가 필수다. 시야검사는 녹내장의 진단뿐만 아니라 질환의 진행 여부와 경과 관찰에 있어서도 매우 중요하다.
녹내장은 진행될수록 시신경유두가 녹내장성 손상을 보이기 때문에 시신경유두검사가 필요하며, 녹내장이 진행하면서 망막신경섬유층의 두께가 얇아지는 현상을 측정하기 위한 망막신경섬유층 검사가 진단에 유용한 검사다. 이와 함께 녹내장에 있어 가장 중요한 위험요소는 안압이다. 정상안압 녹내장 환자는 안압이 정상 범위라고 해도 환자의 안압이 병의 진행에 있어 가장 큰 위험인자이기 때문에 안압 측정이 매우 중요하다. 위와 같은 여러 안과 검사 결과를 토대로 안과 전문의가 종합적으로 판단하여 정상안압녹내장을 진단하게 된다.
![]() |
| ▲강동경희대병원 녹내장클리닉 강자헌 교수 |
◆검사 통해 조기에 발견하는 것이 최선, 안압 높이는 생활 습관 피해야
강자헌 교수는 “이미 손상된 시신경은 복구시킬 수 없기 때문에 무엇보다 녹내장을 예방하는 것이 내 시력을 지키는 최우선의 길이다. 이를 위해 40세 이상이면 눈에 문제가 없어도 최소한 1년에 한 번은 안과에서 녹내장 검사를 받는 것이 좋다. 또한, 안압을 상승시킬 수 있는 요소들을 멀리해 예방이 필요하다”고 말했다. 안압 상승을 막기 위해서는 흡연자는 금연이 필요하고, 머리로 피가 쏠리는 자세(물구나무서기 등)나 복압이 올라가는 운동을 피하는 것이 좋다. 녹내장에 특별히 도움이 되는 것으로 입증된 음식은 없지만 항산화 물질이 많이 함유되어 있는 과일, 채소나 혈액순환을 돕는 음식을 충분히 섭취하는 것이 도움된다.
한편, 강동경희대병원 녹내장 클리닉은 녹내장의 전신적 위험인자로 알려진 편두통, 저혈압, 수면무호흡증 등을 함께 치료하기 위해 신경과, 내과, 수면센터와 긴밀한 협진시스템을 구축했다. 원스톱 당일 진료를 실시하여 녹내장 조기진단 및 치료와 연구에 힘쓰고 있다. [세계타임즈 조원익 기자]
[저작권자ⓒ 충북세계타임즈. 무단전재-재배포 금지]











































